Blog

LLL Dental » Blog » Page 9

Cât persistă durerea după implant dentar?

Lipsa igienei dentare, accidentele sau diferite probleme de sănătate sunt principalele motive pentru care tot mai mulți oameni ajung la...
Detalii

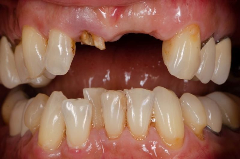
Coroana pe implant dentar

Una dintre cele mai bune vești oferite de medicina modernă este aceea că îți poți înlocui dinți lipsă cu ajutorul...
Detalii

Cât costă implant dentar toată gura: Dantură completă

Nu este plăcut să-ți pierzi toți dinții sau marea majoritate a acestora. Pe lângă faptul că zâmbetul tău nu va...
Detalii

Coroana zirconiu vs ceramica: Ce sa alegi?

Cu toții visăm la o dantură frumoasă și complet funcțională, dar pentru a ajunge la rezultatele mult dorite, de cele...
Detalii

Implantul dentar din zirconiu vs titan: Avantaje și preț

Odată cu evoluția domeniului stomatologic, oamenii au devenit tot mai preocupați de felul în care arată zâmbetul lor. Chiar dacă...
Detalii

Abces dentar: Extractie sau tratamentul infectiei la radacina?

Te confrunti cu dureri ascutite, pulsatile, de dinti, care iradiaza catre maxilar, gat sau ureche? Sunt acompaniate de trismus, dificultati...
Detalii

Edentatia: Definitie, cauze si tratament

Edentatia sau lipsa dintilor este o problema care poate aparea la orice varsta. De-a lungul vremii, a reprezentat un motiv...
Detalii

Detartrajul: ce este si de ce ai nevoie de el?

Detartrajul este una dintre cele mai cunoscute si frecvent efectuate proceduri stomatologice. Realizat la intervalele recomandate, acesta poate ajuta la...
Detalii

Abces Gingival: Cauzele și tratamentul infecției

Abcesul dentar este o problema cu care multe persoane se confrunta cel putin o data in viata, in special in...
Detalii

O SPERANȚĂ

La aproape un an de la începerea pandemiei societatea are o speranță: vaccinul. Dacă în tot acest timp v-ați pus...
Detalii

GÂNDURI DIN PANDEMIE

„Când crezi că ai găsit toate răspunsurile, vine viața și schimbă toate întrebările”, Bob Marley Anul 2020 a adus schimbarea...
Detalii

INTERVIU DR. CLAUDIU LUPASCU, LLL DENTAL – RESTART ECONOMY

Vom fi grav afectați din cauza scăderii încasărilor la zero Dr. Claudiu Lupascu este fondatorul clinicii dentare LLL Dental si...
Detalii

Control stomatologic periodic: Importanta si beneficii

Un control stomatologic de rutina va incepe cu anamneza, adica vom discuta despre istoricul tau medical, tratamentele pe care le...
Detalii

Simptome respingere implant dentar: Riscuri si indicatii

Exista respingerea implantului dentar?… Cade?… Il primeste organismul?… Se integreaza?… Acestea sunt primele ganduri atunci cand realizam ca putem fi...
Detalii

POVESTEA CLINICII LLL DENTAL

Tehnologia si stiinta progreseaza spectaculos de la un an la altul. Dar problemele  pacientilor si nevoile lor emotionale raman in mare aceleasi...
Detalii

ZAMBETUL SI ESTETICA DENTARA

ZAMBETUL SI ESTETICA DENTARA Indiferent de varsta sau statut social si atat pentru femei, cat si pentru barbati, zambetul este...
Detalii

Regenerarea osoasa cu sistemul SonicWeld Rx

Pierderea temporara a unui dinte afecteaza estetica, functia masticatorie cat si moralul pacientului. Din fericire nu e ireparabil. Implanturile dentare...
Detalii
Nou pe blog