Simptome respingere implant dentar: Riscuri si indicatii

LLL Dental » Simptome respingere implant dentar: Riscuri si indicatii
macheta implant dentar

Exista respingerea implantului dentar?… Cade?… Il primeste organismul?… Se integreaza?… Acestea sunt primele ganduri atunci cand realizam ca putem fi beneficiarii unui tratament de reabilitare orala cu ajutorul implanturilor dentare.  Toti am auzit de respingerea implantului dentar… deci, clar exista! Bine, dar hai sa ridicam niste voaluri ce impiedica o perceptie mai clara a situatiei!

Cum se produce osteointegrarea si cat dureaza?

La baza succesului tratamentului cu implanturi dentare sta osteointegrarea. Acest termen a fost introdus de Per-Ingvar Branemark, un cercetator suedez considerat „parintele implantologiei dentare moderne”, si, pe scurt, se refera la procesul de fuziune a osului cu suprafata implantului dentar. Procesul in sine este unul destul de complex, dar care poate fi subdivizat in trei etape: 

Exista mai multi factori care pot contribui la succesul sau esecul osteointegrarii si, in consecinta, al tratamentului cu implanturi dentare, inclusiv caracteristicile implantului sau cantitatea si calitatea osului in care este implantat.[4]

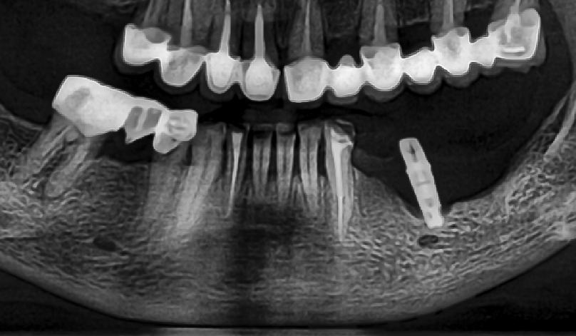
Acest proces poate dura cateva luni.[1] Cum putem verifica daca procesul de osteointegrare a implantului decurge asa cum ar trebui? Simplu, prin intermediul radiografiei dentare si masurare directa  ISQ  (Implant Stability Quotient) 

Simptome respingere implant dentar 

Durere severa 

Este firesc sa existe un anumit grad de durere si disconfort dupa inserarea implantului dentar, dar acestea sunt perfect controlabile cu medicatie antiinflamatorie si analgezica obisnuita, Daca durerea este severa sau persista mai mult de 10 zile, ar putea reprezenta un semn de implantare nereusita.[2]

Umflarea zonei

Tumefactia dupa operatia de implant este si ea o reactie normala, dar care nu ar trebui sa persiste un timp indelungat. In caz contrar, poate reprezenta un semn al respingerii implantului dentar ca urmare a dezvoltarii unei infectii la radacina dintelui.[2]

Inflamatia gingiilor  

Inflamatia si sangerarea gingiilor este un alt posibil semn al esecului implantarii. Exista si cazuri in care apare retractia gingivala, ceea ce poate cauza multe alte probleme, inclusiv expunerea bontului.[2]

 Mobilitatea implantului dentar 

Daca apare senzatia ca implantul sau lucrarea dentara montata pe acesta se misca sau se rasuceste, poate fi un semn ca elementele acestuia nu sunt fixate corespunzator.[2] Este necesara o vizita urgenta la medic pentru a stabili daca intr-adevar este asa si luarea masurilor necesare.

Cauzele respingerii implantului dentar

In primul rand, trebuie sa precizez ca, in acest articol, ma voi referi doar la pacienti pentru care implantul dentar NU este contraindicat si respecta strict normele de igiena, precum si indicatiile medicului.

Ce spun producatorii seriosi de implanturi si biomateriale? Toti au produse sensibil mai bune (biocompatibile) de la an la an. Este adevarat. Ce spune statistica? Procentul esecurilor in implantologie creste. Tot de la an la an. Tot adevarat. Pare paradoxal, nu-i  asa? De fapt, totul are o explicatie.

In ultimii ani, asistam la mai multe fenomene care, combinate, duc la acest aparent paradox. Voi aminti mai jos cateva explicatii despre  care se vorbeste prea putin!

Lipsa de experienta/pregatire a medicului care realizeaza procedura

„Democratizarea implantologiei” reprezinta starea de fapt actuala, in care medicii dentisti nu au nevoie de niciun fel de pregatire speciala (rezidentiat, specializare, obtinere competenta, cursuri de acreditare etc.) pentru a practica implantologia.

Aceasta situatie are ca efect o crestere semnificativa a recomandarilor tratamentelor prin implant dentar, a numarului de implanturi inserate, dar, din pacate, si o crestere spectaculoasa a complicatiilor si a implanturilor „respinse de organismul pacientului”!

Incarcarea prematura a implanturilor dentare 

Presiunea concurentei, presiunea pacientilor cu asteptari exagerate datorate unei mediatizari simpliste si, nu in ultimul rand, orgoliile din lumea medicala, au provocat in randurile specialistilor o tendinta de adoptare a unor metode care tind sa reduca timpul de asteptare pana la realizarea lucrarilor finale pe implanturi („implantare imediata”, „incarcare imediata”, „dinti intr-o zi”). 

Alte tehnici tind sa urmareasca reducerea costurilor prin folosirea mai putinor implanturi sau prin evitarea refacerii osoase („all on four”, „all on six”). Functioneaza aceste metode? Da, functioneaza! Dar cu un cost… Creste rata implanturilor „respinse de organismul pacientului”!

Folosirea unor implanturi de slaba calitate

China a intrat in forta pe piata implanturilor! Au copiat toate modelele de implanturi dentare ale firmelor de prestigiu. Au copiat tot, mai putin calitatea! Si acesta este un motiv pentru care creste rata implanturilor „respinse de organismul pacientului”!

Daca eliminam cauze precum cele de mai sus si altele asemanatoare, raman cele legate de sanatatea generala (nu fac obiectul temei acestui articol) sau strict locale (infectii ale osului netratate sau neobservate), erori tehnice (freze tocite care pot provoca incalzirea osului etc.), solicitari mecanice prea mari etc. 

Alte doua exemple de cauze ale esecului tratamentului cu implanturi dentare sunt periimplantita si alergia la materialul din care este realizat implantul.

Periimplantita 

Periimplantita este o afectiune inflamatorie care afecteaza tesuturile din jurul unui implant osteointegrat, ducand la pierderea osului de sustinere si la esecul implantului. Se poate dezvolta imediat dupa plasarea implantului sau chiar cativa ani mai tarziu si se manifesta prin sangerare, supuratie, mobilitatea implantului si pierderea osoasa radiografica.[5]

Alergia la materialul din care este realizat implantul

Rar, se poata intampla sa apara si o reactie alergica la titan, materialul din care sunt realizate de obicei implanturile dentare. Posibile indicatii in acest sens sunt urticaria, edemul, roseata si mancarimea. Sansele ca o astfel de reactie alergica sa apara sunt insa extrem de mici.[2] 

Corect din partea mea este sa spun ca literatura de specialitate mentioneaza si defineste „respingerea esentiala”. Aceasta reprezinta respingerea implantului dentar de catre organismul pacientului fara sa se poata identifica o cauza.

Metode de preventie a respingerii implantului dentar

Odata ce pacientul recunoaste principalele simptome de respingere ale implantului dentar, acesta trebuie sa se adreseze echipei medicale. Totusi, se recomanda preventia. De ce sa ajungem in acest punct cand putem aplica doua metode eficiente pentru a evita complicatiile? Acestea sunt:

Tratament infectie implant dentar

Exista tratament pentru infectia implantului dentar. Acesta difera de la un pacient la altul in functie de severitatea cazului si de gradul de extindere. Mai concret, se pot recomanda urmatoarele:

Administrarea de antibiotice

Antibioticele se prescriu pentru infectiile usoare si moderate. Acestea pot fi administrare oral sau local (geluri speciale aplicate direct pe zona afectata). Cu ajutorul antibioticelor se elimina bacteriile si se reduce treptat inflamatia. Atentie, tratamentul se prescrie doar de catre un medic, in urma consultului de specialitate.

Curatarea mecanica

Curatarea mecanica se realizeaza, de cele mai multe ori, cu ajutorul dispozitivelor ultrasonice. Cu ajutorul vibratiilor, se curata adanc buzunarele mucoasei din jurul implantului si se indeparteaza placa bacteriana. Aceasta tehnica este folosita si ca modalitate de preventie. De asemenea, se pot indica: instrumentele delicate pentru detartraj si folosirea atei dentare pentru a patrunde in buzunarele adanci.

Tratamentul chirurgical

In cazurile mult mai complexe, se impune tratament chirurgical. Acesta presupune realizarea unei incizii pentru a permite echipei medicale sa trateze corect zona contaminata. Se elimina tesuturile afectate si se curata zona cu atentie.

Indepartarea implantului

In cazuri grave, atunci cand infectia este severa si nu poate fi eliminata prin intermediul tratamentelor mai sus mentionate, se indica indepartarea implantului dentar. Aceasta indicatie poate veni si in urma pierderii semnificative a tesutului osos din jurul implantului, esecul osteointegrarii sau mobilitatea implantului.

Ce masuri se iau in caz de respingere a implantului? 

Raspunsul la aceasta intrebare depinde de particularitatile fiecarui caz, de simptomatologia prezenta.In cazul respingerii implantului dentar acesta trebuie indepartat, refacut osul prin aditia de os si reimplantarea dupa ce osul se vindeca. Aceasta procedura va asigura implantului o sustinere mai buna si este indicata atunci cand osul din jurul unui implant nu se vindeca bine sau nu este suficient de puternic sau suficient cantitativ.

Ce este de facut va vom putea spune numai dupa o consultatie amanuntita si efectuarea investigatiilor necesare. Important este sa va prezentati cat mai repede medic daca observati simptome ingrijoratoare, fie ca este vorba de un abces, de durere sau edem persistente ori orice alt simptom nou aparut sau care s-a agravat. 

La LLL Dental, reusim integrarea cu succes pentru mai mult de 99% din implanturi. Pentru celelalte, analizam, reanalizam si reluam procesul de la capat. Transformam un esec intr-un ”succes intarziat”!

Care este prognosticul pentru respingerea implantului dentar? 

Trebuie spus clar despre respingerea implantului, in cazul pacientilor care nu au contraindicatii pentru implant dentar, ca este un fenomen real, dar rar. Literatura de specialitate mentioneaza procente de succes ce variaza, in general, intre 85% si 98% pentru implanturile dentare.

Implant dentar: riscuri

Rata ridicata de succes a implantului dentar nu inseamna automat ca acest tip de tratament dentar nu comporta anumite riscuri. Despre riscul respingerii implantului sau al dezvoltarii unei infectii in zona in care a fost introdus acesta am vorbit deja. Alte riscuri asociate cu tratamentul cu implanturi dentare ar fi esecul osteointegrarii, lezarea nervilor sau a tesuturilor moi si afectarea sinusurilor.[3]

Exista respingerea implantului de catre organism? Da! Dar…eu cred ca se manifesta doar in asociere cu alte cauze si nu reprezinta o intoleranta esentiala a organismului la implant. Ea poate fi depasita, de cele mai multe ori, daca situatia este manageriata corect. Sper ca acest articol sa va puna pe ganduri in legatura cu “respingerea organismului…”. 

Va doresc sanatate!

Dr. Claudiu Lupascu, medic specialist in Implantologie, Parodontologie, Stomatologie Generala, Radiodiagnostic Dentar

Intrebari frecvente 

Cat de frecventa este respingerea implantului dentar?

Respingerea implantului dentar este un fenomen rar la pacientii pentru care inserarea implantului dentar nu este contraindicata. Igiena orala deficitara si afectiunile medicale preexistente pot influenta enorm acest risc.

Ce ar trebuie facut daca pacientul suspecteaza ca se confrunta cu acest fenomen?

In astfel de situatii, pacientul este indemnat sa contacteze de urgenta echipa medicala. Se evalueaza situatia si daca suspiciunea este confirmata, se recomanda tratament adecvat pentru a preveni complicatiile.

Poate fi inlocuit un implant respins?

Da, implantul dentar respins poate fi inlocuit dupa ce se trateaza cauza respingerii.

Mi se vede implantul dentar. Este normal sa fie vizibil?

Implantul dentar nu ar trebui sa fie vizibil. In mod normal, acesta este acoperit de gingie si de coroana dentara. O astfel de imagine poate semnala o problema legata de pozitionare, pierderea tesutului gingival, infectie puternica sau resorbtie osoasa. Contactati echipa medicala daca implantul dentar este expus!

Bibliografie: 

  1. „Dental Implant Surgery” Mayo Clinic, 2019, www.mayoclinic.org/tests-procedures/dental-implant-surgery/about/pac-20384622. Accessed 26 Apr. 2023.
  2. „An Overview of the Major Causes of Dental Implant Failure”, Verywell Health, 2022, www.verywellhealth.com/dental-implant-failure-5217573. Accessed 26 Apr. 2023.
  3. Kara Mayer Robinson. „Risks Associated with Dental Implants”, WebMD, 2 May 2022, www.webmd.com/oral-health/risks-dental-implants. Accessed 26 Apr. 2023.
  4. Pandey, Chandrashekhar, et al. „Contemporary Concepts in Osseointegration of Dental Implants: A Review”, BioMed Research International, vol. 2022, 14 June 2022, pp. 1–11, www.hindawi.com/journals/bmri/2022/6170452/, https://doi.org/10.1155/2022/6170452. Accessed 26 Apr. 2023.
  5. Shubha Ranjan Dutta, et al. „Risks and Complications Associated with Dental Implant Failure: Critical Update”, National Journal of Maxillofacial Surgery, vol. 11, no. 1, 1 Jan. 2020, pp. 14–14, www.ncbi.nlm.nih.gov/pmc/articles/PMC7518499/, https://doi.org/10.4103/njms.njms_75_16. Accessed 26 Apr. 2023.

Data articol: 14 March 2016 (actualizat la: 3 July 2025)
Photo of Dr. Claudiu Lupascu
Dr. Claudiu Lupașcu, medic stomatolog cu peste 25 de ani de experiență, este specialist în implantologie, parodontologie și imagistică dentară. Absolvent al Universității de Medicină și Farmacie „Carol Davila” din București, Dr. Lupașcu este dedicat practicii de stomatologie holistică și generală. Manager și medic coordonator, Dr. Lupașcu pune pasiunea pentru inovație și îngrijire personalizată în slujba pacienților săi.
Fă o programare
la Clinica LLL Dental

Pacienții noștri au evaluat pozitiv experiențele pe care le-au avut la clinica noastră. Le poți verifica direct în Google.

Profită de avantajele LLL:
  • medici buni – de 3 generații, creăm zâmbete sănătoase
  • inovație – tehnologii avansate
  • totul într-un loc – laborator dentar propriu și radiologie dentară/CT
  • program extins – luni-vineri, 08-21:30
Calea Mosilor, Nr. 296, Bloc 46, Scara C, Parter, Bucuresti, Sector 2

Formular de Programare

This field is for validation purposes and should be left unchanged.

Nou pe blog