Coroana pe implant dentar
Una dintre cele mai bune vești oferite de medicina modernă este aceea că îți poți înlocui dinți lipsă cu ajutorul implanturilor dentare. În plus, datorită evoluției, azi ai la dispoziție numeroase alternative, încât este imposibil să nu găsești o variantă adaptată nevoilor tale. Vorbim despre soluții care îți pot reda zâmbetul de altădată, într-un mod sănătos, dar și estetic. Pentru că implantul dentar este, de fapt, un șurub care se integrează în os, pentru a ajunge la rezultatele mult dorite, acesta este acoperit cu o coroană dentară. Dacă vrei să afli mai multe informații despre coroana pe implant dentar, atunci te invităm să citești acest articol până la final!
Ce este un implant dentar
Așa cum spuneam mai sus, implantul dentar este un dispozitiv medical realizat în formă de șurub. Acesta are rolul de a înlocui rădăcina dintelui pierdut, fiind cea mai bună variantă de tratament pentru cei care doresc să-și recupereze zâmbetul și să consume alimentele preferate cu încredere. De altfel, implantul dentar este baza pe care se aplică, mai târziu, coroana dentară.
Ce este coroana dentară
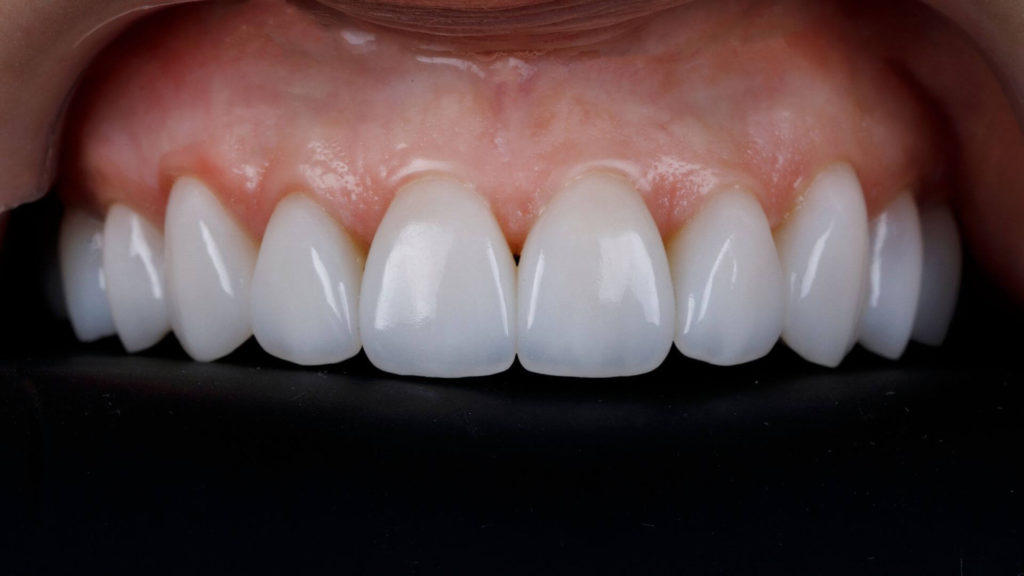
O coroană dentară este o lucrare protetică ce acoperă dintele în partea exterioară, oferindu-i o funcționalitate normală, dar și o formă estetică. În general, coroanele dentare oferă protecție dinților, în urma tratamentelor de canal sau în urma îndepărtării cariilor profunde. De altfel, aceasta îmbracă noul dinte (implantul) pentru a-i oferi un aspect plăcut. Important de reținut este și faptul că, pentru realizarea lor se pot folosi diferite materiale, precum: ceramică, metal sau zirconiu. Astfel că, în urma consultului, vom stabili împreună care este opțiunea ideală pentru tine. Poate vei avea nevoie de coroane dentare Emax sau poate că cele din zirconiu se potrivesc nevoilor tale.
Tipuri de coroane dentare
Coroana dentară este etapa finală a procesului de restaurare a danturii cu ajutorul implantului. Știind acest lucru, cel mai probabil te întrebi ce tipuri de coroane dentare poți pune pe implant. Află că cel mai des sunt folosite coroanele din zirconiu, coroanele metalo-ceramice și cele integral ceramice. Hai să le analizăm pe fiecare în parte!
Coroane zirconiu
Fiecare tip de coroane dentare are propriile avantaje, dar trebuie să știi că una dintre cele mai moderne opțiuni este reprezentată de îmbrăcarea implanturilor cu coroane din zirconiu. Acestea au devenit populare în stomatologia modernă datorită materialului din care sunt realizate. Știai că zirconiul nu este folosit doar în stomatologie, ci și în medicina generală? În ceea ce privește avantajele oferite de coroanele dentare din zirconiu, putem menționa:
- Aspectul natural, similar cu cel al dinților;
- Nu este invaziv – implica îndepărtarea unei cantități mici din țesutul dentar;
- Compatibilitate crescuta cu organismul uman [1];
- Funcționalitate;
- Rezistență la presiune [2].
Coroane integral ceramice (coroane porțelan)
O altă opțiune pe care o ai la dispoziție este aceea de îmbrăca noii dinți cu coroane integral ceramice. Petru că sunt realizate doar din material ceramic, acestea nu au nevoie de un suport metalic, căpătând rezistență datorită tehnicii de prelucrare (presare la rece sau tehnica CAD CAM). Vorbind despre avantaje, coroanele realizate integral din ceramică sunt cunoscute datorită proprietăților excelente. Iată câteva beneficii:
- Aspect estetic plăcut potrivit pentru dantura frontală [3];
- Material prietenos cu organismul uman;
- Confort;
- Funcționalitate.
Coroane metalo-ceramice
Odată ce ajungi la o primă consultație, vei observa că există posibilitatea de a îmbrăca implanturile cu coroane metalo-ceramice. Așa cum le spune și numele, acestea sunt realizate dintr-un strat metalic, considerat a fi un suport pe care se aplică un strat din material ceramic. Practic, coroana metalo-ceramică este compusă din acest suport îmbrăcat într-o ceramică rezistentă, cu rolul de a asigura masticația, în timp ce arată plăcut, oferindu-ți posibilitatea de a-ți redobândi încredere în propria persoană. Printre principalele avantaje, putem enumera:
- Durabilitate și rezistență mare – au o rată de succes foarte ridicată, de 95% la 10 ani; [3];
- Raport excelent calitate-preț.
- Au un aspect plăcut, dar nu sunt la fel de estetice ca si coroanele din zirconiu sau integral ceramice;
Coroane provizorii
Așa cum ai observat, pot exista mai multe recomandări de coroane dentare pe implant, dar decizia finală se ia doar în urma consultației. Fiecare pacient are propriile nevoi, iar de aici și diferența dintre tratamentele și lucrările protetice folosite pentru fiecare în parte. De altfel, este important de menționat că pe parcursul întregului proces, poți avea nevoie și de coroane dentare temporare – lucrări realizate din materiale mult mai accesibile la preț, datorită caracterului provizoriu. Acestea se aplică atât din motive funcționale, cât și estetice, mai ales dacă vorbim despre implanturile din zona frontală.
Tipuri de bonturi
Pentru a fixa coroana dentară pe implant este nevoie de inserarea unui bont. Acesta este elementul de tranziție dintre cele două, oferind rezistență dinților. Bonturile sunt realizate din titan sau zirconiu. Materialul din care este fabricat bontul se alege în funcție de tipul de coroană dentară pentru care optezi. De reținut este și faptul că bontul poate fi de tip standard ori individual:
- Bonturile standard – Așa cum îi spune și numele, acest tip de bont are anumite dimensiuni standard, dar este mai ieftin față de cel individual;
- Bonturile individuale – Fiind individuale, acestea sunt realizate pentru fiecare pacient, având în vedere caracteristicile anatomice ale acestuia. Practic, acestea sunt bonturi personalizate pentru nevoile aparte ale pacienților.
Avantajele coroanelor dentare pe implant
În ceea ce privește avantajele coroanelor dentare pe implant trebuie să menționăm, în primul rând, estetica plăcută și funcționalitatea. Odată ce faci acest pas, vei putea zâmbi și mânca exact așa cum o făceai în trecut, atunci când nu aveai probleme cu dinții naturali. De altfel, este important de menționat și faptul că o coroană dentară aplicată pe implant va păstra distanța dintre dinți. În acest sens, dinții vecini nu se vor deplasa, contribuind la menținerea sănătății pentru întreaga arcadă. În plus, dacă oferi o atenție deosebită periajului și îngrijirii, în mod general, te poți bucura de noul aspect al dinților tăi cât mai mult timp.
Etapele realizării unei coroane dentare pe implant
Probabil că ești curios și de etapele realizării coroanelor dentare pe implant. Astfel că, primul pas se face chiar la prima întâlnire, atunci când are loc consultația de specialitate. Vom analiza nevoile tale și vom stabili împreună următorii pași. Poate ai nevoie de extracții înainte de a începe procedura sau de alte tratamente. Fiecare pacient are nevoi diferite și, din acest motiv, consultația inițială are un rol cheie pe tot parcursul procesului de restaurare a dinților. De altfel, unii oameni au nevoie și de adiții osoase. După integrarea implantului dentar, urmează etapa de vindecare și, mai apoi, aplicarea coroanei dentare, realizată din materialul potrivit nevoilor tale.
Ce este adiția de os
Ți-am atras atenția asupra termenului de „adiție osoasă”? Vorbim despre o procedură prin care se realizează creșterea volumului sau înălțimii osului, chiar în zona în care urmează să se insereze implantul. Concret, dacă în această zonă nu există o cantitate suficientă de os, implantul nu va fi susținut în mod corespunzător. Din acest motiv, unii pacienți trec și prin această procedură separata sau făcută simultan cu inserarea implanturilor.
Coroană dentară pe implant vs punte dentară sau proteză dentară
Coroana dentară pe implant este o opțiune buna pentru a-ți redobândi zâmbetul de altă dată. Pe de altă parte, există posibilitatea să fi auzit și despre alte opțiuni, precum: puntea dentară sau proteza dentară.
Puntea dentară, de exemplu, este reprezentată de un set de coroane care îmbracă cei doi dinți, aflați în stânga și dreapta spațiului gol, de aici și numele acesteia. Practic, se creează o punte pentru noul dinte. De reținut este faptul că la suprafață, deci în partea vizibilă, vei observa un dinte cu aspect plăcut si natural, dar trebuie să știi că acesta nu este integrat în os. Mulți oameni preferă această variantă din considerente financiare, dar este important de menționat că nu vorbim de aceeași rezistență pe care o oferă un implant dentar din zirconiu sau titan. De altfel, proteza dentară se fixează pe un număr redus de implanturi, oferind stabilitate pentru întreaga arcadă. Pacienții optează pentru acest tip de tratament din diferite motive, dar ceea ce este important de știut este faptul că cea mai bună și durabilă opțiune în acest sens este coroana dentară pe implant.
Costul coroanelor dentare pe implant
Există mai multe tipuri de coroane dentare pe implant, printre care: înșurubate, cimentate, pe bonturi standard sau personalizate, realizate individual pe suprastructuri, sau monoliți pentru o întreagă arcadă, din nenumărate tipuri de materiale. După cum ai observat, există mai multe opțiuni în ceea ce privește coroanele dentare, ceea ce înseamnă că fiecare pacient va avea nevoie de un tratament personalizat, stabilit în urma consultației. În acest fel, poți opta pentru o coroană pe implant dentar cu preț potrivit bugetului tău, dar va trebui să ai în vedere și materialul din care este realizată. În plus, va trebui să iei în calcul și prețul implantului dentar, dar și altor proceduri și tratamente, dacă este cazul.
Concluzionând, coroanele dentare pe implant îți pot oferi un zâmbet frumos și sănătos, oferindu-ți posibilitatea de a-ți recăpăta încrederea în propria persoană. Reține doar că alegerea tipului de implant, dar și tipului de coroană dentară potrivite nevoilor tale se face doar la recomandarea specialistului.
Surse:
[1] Soleimani, F., Jalali, H., Mostafavi, A. S., Zeighami, S., & Memarian, M. (2020). Retention and Clinical Performance of Zirconia Crowns: A Comprehensive Review. International Journal of Dentistry, 2020, 1–6. https://doi.org/10.1155/2020/8846534
[2] Larson, J. (2020, January 20). What You Need to Know About Dental Crowns Made from Zirconia. Healthline; Healthline Media. https://www.healthline.com/health/what-you-need-to-know-about-dental-crowns-made-from-zirconia#disadvantages0
[3] Pocket Dentistry. (2015, January 12). Metal-Ceramic and All-Ceramic Restorations. Pocket Dentistry. https://pocketdentistry.com/metal-ceramic-and-all-ceramic-restorations/

