Preț fațete dentare toată gură: Pachete și tipuri
Aspectul inestetic al dinților naturali nu trebuie să fie un impediment pentru tine. Azi, când estetica dentară se află în continuă dezvoltare, îți poți îmbunătăți vizibil toată dantura într-un timp cât mai scurt. Tot mai mulți pacienți au apelat deja la fațete dentare pentru un zâmbet complet și trăiesc acum o etapă frumoasa din viața lor: cea în care sunt încrezători, mulțumiți cu imaginea pe care o văd în oglindă.
Dacă și tu te gândești să îți pui fațete dentare, înseamnă că vrei să afli și care este costul total pentru această procedură. E normal să fie așa, mai ales că vorbim despre o investiție serioasă, una care îți poate schimba semnificativ viața. Citește acest articol până la final pentru a afla cât costa fațetele dentare!
Care este prețul unei fațete dentare?
Prețul unei fațete este unul dintre principalele aspecte atent cântărite înainte de a urma planul de tratament. Deși costul poate părea ridicat la prima vedere, trebuie luate în considerare multiplele beneficii pe care fațetele le oferă (aspect, durabilitate, rezistență la pete etc). Odată ce tragem linie, costul total nu este doar despre estetică, ci și despre îmbunătățirea calității vieții. Un zâmbet frumos sporește încrederea în sine. 2000 RON costă o fațetă dentară, fie că preferi ceramica sau zirconiul (Fațetă dentara IPS e.max® Ceram High Esthetics sau Fațetă dentara zirconiu High Esthetics). Nu uita de fațetele provizorii, care joacă un rol esențial în perioada de tranziție. Fiind realizate din materiale temporare, acestea costă suplimentar doar 100 RON.
Este posibila plata in rate a fațetelor dentare pentru toată gura?
Prețul fațetelor dentare pentru toată gura ți se pare copleșitor? Este, într-adevăr, o sumă destul de mare pentru mulți pacienți, dar la LLL DENTAL există soluții pentru toată lumea, pentru toți cei care vor să se uite în oglindă, mulțumiți de felul în care arată zâmbetul lor. La noi poți plăti pentru serviciile medicale în rate fără dobândă. Dacă deții un card de credit UniCredit, poți beneficia de plată în rate fără dobândă, alegând un plan personalizat care se potrivește nevoilor tale – de la 2 până la 12 rate. Astfel, îți poți transforma zâmbetul fără a simți un efort financiar considerabil, fără a te simți constrâns ori îndatorat.
Când sunt recomandate fațetele dentare?
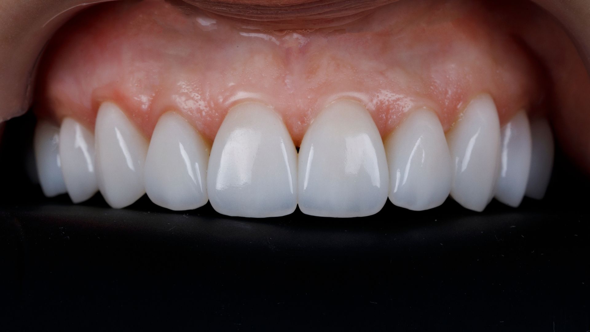
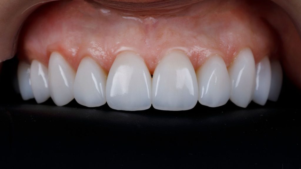
Fațetele dentare sunt învelișuri subțiri, realizate din materiale rezistente și biocompatibile. Acestea acoperă partea frontală a dinților, îmbunătățindu-le vizibil aspectul. Astfel, se schimbă total forma, volumul și culoarea dinților de pe arcadă. De regulă, pacienții care au nevoie de această îmbunătățire, se prezintă la stomatologice cu dinți fisurați, ciobiți, pătați sau puternic decolorați, cu spațieri, strungăreață [1]. Pentru a face o alegere cât mai corectă pentru zâmbetul tău în urma controlului de specialitate, ți se vor recomanda fie fațete dentare din ceramică Emax, fie din alte materiale, precum zirconiul.
Când se pot pune fațete dentare pe toți dinții?
Pentru început, trebuie să știi că fațetele dentare sunt o opțiune potrivită atât pentru a îmbunătăți aspectul estetic al unui dinte, care din diferite motive a suferit anumite modificări de formă, dar mai ales pentru a schimba aspectul general al zâmbetului. Fie că optezi pentru fațete din zirconiu sau pentru fațete din ceramică presată, trebuie să știi că acestea nu sunt concepute pentru dinți slăbiți, cariați sau fracturați. Astfel, înainte de procedura propriu-zisă, cariile sunt îndepărtate, infecțiile sunt tratate, iar mușcătura este corectată. Mai concret, fațetele sunt concepute pentru dinții sănătoși cu imperfecțiuni estetice.
Câte fațete sunt necesare pentru un zâmbet complet?
Încă de la prima consultație, se stabilește numărul de fațete necesare pentru a ajunge la zâmbetul mult dorit. De regulă, pacienții optează pentru 6 sau 8 fațete dentare pe o singură arcadă, dar se pot aplica și 10 fațete. Astfel, pentru ambele arcade se pot realiza, în total, 20 de fațete. Un set complet este recomandat, de regulă, pacienților care prezintă defecte estetice semnificative pe majoritatea dinților. În acest sens, prețul fațetelor dentare poate varia în funcție de numărul dinților care au nevoie de o îmbunătățire.
Prețul fațetelor dentare pentru toată gura
Prețul fațetelor dentare pentru toată gura se stabilește încă de la prima întâlnire cu specialiștii. Astfel, pacientul va fi pregătit pentru toate implicațiile financiare. Pentru a calcula acest preț, trebuie să ai în vedere costul unei fațete dentare, care este de 1800 de lei. E bine să fii informat. Așa că, încă de la început, echipa medicală te va anunța dacă vor exista și alte costuri asociate. Concret, costul fațetelor dentare pe toți dinții poate fi mai mare pentru pacienții care au nevoie și de alte tratamente, precum: îndepărtarea cariilor, tratarea infecțiilor etc. Atunci când se stabilește prețul total, este recomandat ca pacientul să aibă în vedere că urmează să facă o investiție care îi va aduce beneficii pe termen lung.
Pachet 8 fațete „HIGH ESTHETICS SMILE 8”
În pachetul HIGH ESTHETICS SMILE 8, pacienții beneficiază de: Consultație medic specialist, Diagnostic estetic digital, Model de studiu, Fotografii de diagnostic, Scanare si măsurători, Smile teaser, 8 fațete provizorii, 8 fațete E.max sau zirconiu, Cimentare fațete, Finisare si poze analiză rezultat. Practic îți poți fațeta 8 dinți (poate 4 pe o arcadă și 4 pe cealaltă) la un preț special pentru întregul plan de tratament.
Pachet 10 fațete „HIGH ESTHETICS SMILE 10”
Un alt pachet gândit pentru pacienții care vor să zâmbească entuziaști este HIGH ESTHETICS SMILE 10. Beneficiezi de aceleași servicii medicale, doar că, de data aceasta, se vor fațeta 10 dinți. Prețul este, bineînțeles, mai mare, dar gândit pentru a face economii considerabile.
Pachet 16 fațete „HIGH ESTHETICS SMILE 16”
O altă soluție dedicată pacienților care își doresc să zâmbească încrezători este HIGH ESTHETICS SMILE 16. Pachetul include fațetarea a 16 dinți, într-un pachet care îți permite să economisești mai mult.
Pachet 20 fațete „HIGH ESTHETICS SMILE 20”
Și, în final, dacă te gândești la fațete dentare pentru toată gura, ar trebui să întrebi echipa medicală despre pachetul HIGH ESTHETICS SMILE 20. Îți fațetezi 20 de dinți la un preț prietenos cu bugetul tău și cu economiile familiei.
Factori care influențează prețul fațetelor dentare pentru toată gura
Aplicarea fațetelor dentare pe toată gura este o decizie importantă, iar costul poate varia semnificativ în funcție de mai mulți factori. Cele mai importante aspecte care influențează costul final sunt:
- Materialul utilizat: La LLL DENTAL, fațetele din ceramică și zirconiu au același preț, dar fațetele din compozit, datorită caracterului temporar, sunt cu mult mai ieftine;
- Numărul de fațete necesare: Costul crește odată cu număr dinților care vor fi restaurați;
- Complexitatea cazului: Dacă există alte probleme, nu cele legate de aspect, se vor efectua tratamente suplimentare, deci costul total va crește;
- Tehnologia utilizată: Tehnologiile avansate sunt foarte populare în rândul pacienților, dar toate vin cu un preț. În cazul de față, designul digital al zâmbetului, de exemplu, ne permite să obținem un zâmbet personalizat, adaptat trăsăturilor fiecărui pacient. Avantajele sunt evidente.
Pentru o informație clară și personalizată, este recomandat să consulți echipa medicală.
Avantajele fațetelor dentare pe toți dinții
Acum știi cum se calculează prețul fațetelor Emax, dar și care este prețul fațetelor din zirconiu, ceea ce înseamnă că trebuie faci o analiză completă asupra avantajelor oferite de o astfel de alegere. Ne referim aici la:
- Estetică îmbunătățită: Dinții sunt albi, perfect aliniați, cu volum și formă plăcută, fără colorații, ciobituri sau alte defecte inestetice;
- Conservarea structurii dentare: Pentru că se elimină o cantitate mică de smalț, structura naturală a dinților este conservată;
- Durabilitate și rezistență: Realizate din ceramică sau zirconiu, fațetele dentare oferă garanția un zâmbet frumos și sănătos pe termen lung. Există totuși două condiții: îngrijire adecvată și vizite regulate la stomatologie. Cu o atenție deosebită, fațetele dentare pot avea o durată de viață care poate depăși chiar și 20 de ani [2];
- Rapiditate în execuție: Pentru că procesul de aplicare este unul relativ rapid, pacienții se pot bucura de rezultate vizibile într-un timp foarte scurt.
Ce presupune tratamentul cu fațete dentare pentru toată gura?
Dacă și tu îți dorești fațete dentare pentru toată gura, trebuie să știi că procedura presupune mai multe etape, iar aici ne referim la:
- Consultația inițială: Atunci când se stabilește un plan de tratament adaptat nevoilor specifice;
- Igienizarea: Se recomandă o igienizare și o curățire amănunțită a dinților înainte de acest proces;
- Pregătirea dinților: Dinții se șlefuiesc puțin pentru a crea loc fațetelor dentare [3];
- Amprentarea: Aceasta este cea mai importantă etapă, fiind nevoie de multă răbdare și atenție pentru a obține fațetele care să se potrivească pe arcadă;
- Cimentarea: Dintele se curăță, iar mai apoi, se cimentează fațeta dentară. Adezivii care se folosesc în etapa de cimentare a fațetelor dentare sunt realizați din materiale rezistente, deci nu trebuie să-ți faci griji din acest punct de vedere. Dacă nu desfaci ambalajele cu dinții și dacă te ferești de diferite traumatisme, fațetele dentare vor rămâne pe poziții.
Așadar, fațetele dentare pot fi soluția salvatoare pentru zâmbetul tău. Sunt deosebit de estetice, iar cu o îngrijire corespunzătoare, pot fi mai rezistente decât îți imaginezi. Prețul acestora se calculează, așa cum ai observat, în funcție de numărul dinților care au nevoie de o schimbare radicală. În orice caz, rezultatul final va fi fix cum ai visat: un zâmbet frumos, simetric și, în mod evident, alb.
Întrebări frecvente
Este obligatoriu să se pună fațete dentare pentru toată gura?
Fațetele dentare pot fi aplicate doar pe dinții care au nevoie de îmbunătățiri, însă este recomandat să obținem un aspect uniform pe fiecare arcadă.
Fațetele dentare necesită costuri suplimentare pe termen lung?
Fațetele dentare nu vin cu anumite costuri obligatorii pentru întreținere, dar este necesar să mergi la control și la igienizare după fiecare 6 luni. De asemenea, pe termen lung, poate fi nevoie de înlocuire în caz de deteriorare (mai ales după 10-15 ani). Există și cazuri în care, pentru a proteja fațetele, pacienții poartă gutiere pentru bruxism. Acestea se schimbă după un timp.
Ce se întâmplă dacă fațeta se fracturează? Pacientul trebuie să plătească?
Garanția comercială lucrărilor dentare nu include deteriorarea din cauza lipsei de igienă sau utilizării necorespunzătoare. Dacă nu se pune problema de aplicare greșită ori defect de fabricație, costul de înlocuire cade în sarcina pacientului.
Surse:
[1] Gotter, A., & Frank, C. (2021, December 17). Dental Veneers: Benefits, Procedure, Costs, and Results. Healthline. https://www.healthline.com/health/dental-veneers
[2] Alothman, Y., & Bamasoud, M. S. (2018). The Success of Dental Veneers According To Preparation Design and Material Type. Open Access Macedonian Journal of Medical Sciences, 6(12), 2402–2408. https://pmc.ncbi.nlm.nih.gov/articles/PMC6311473/
[3] Rashid, R., & Ayoub, W.-U. -. (2017). Veneers: Modern Approach of Dentistry-A Review. In International Journal of Advance Research, Ideas and Innovations in Technology. https://www.ijariit.com/manuscripts/v3i5/V3I5-1182.pdf

