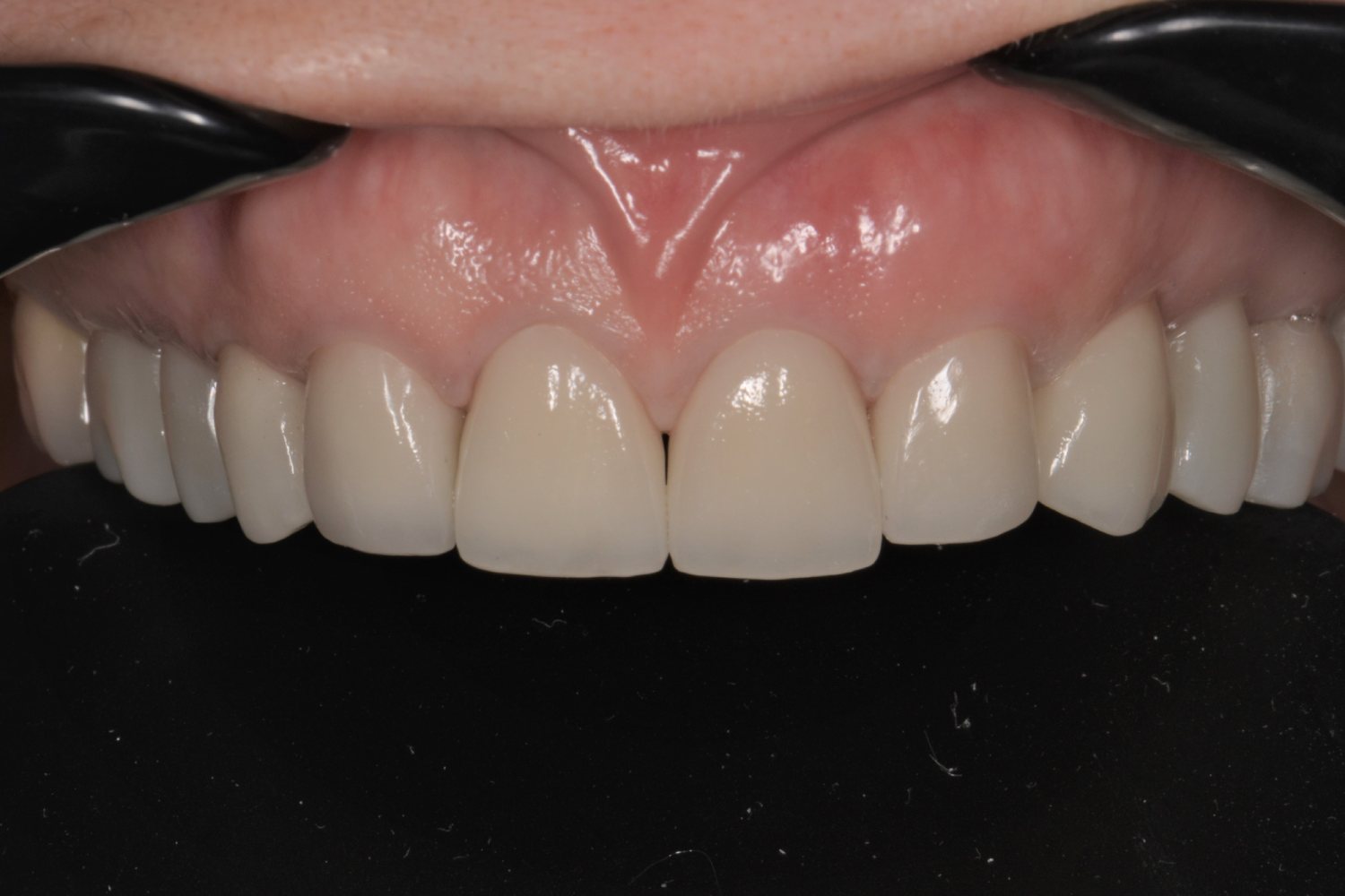
Caz clinic 2

LLL Dental » Caz clinic 2
caz clinic 2
Data articol: 29 October 2021 (actualizat la: 22 August 2024)
Photo of Dr. Claudiu Lupascu
Dr. Claudiu Lupașcu, medic stomatolog cu peste 25 de ani de experiență, este specialist în implantologie, parodontologie și imagistică dentară. Absolvent al Universității de Medicină și Farmacie „Carol Davila” din București, Dr. Lupașcu este dedicat practicii de stomatologie holistică și generală. Manager și medic coordonator, Dr. Lupașcu pune pasiunea pentru inovație și îngrijire personalizată în slujba pacienților săi.
Fă o programare
la Clinica LLL Dental

Pacienții noștri au evaluat pozitiv experiențele pe care le-au avut la clinica noastră. Le poți verifica direct în Google.

Profită de avantajele LLL:
  • medici buni – de 3 generații, creăm zâmbete sănătoase
  • inovație – tehnologii avansate
  • totul într-un loc – laborator dentar propriu și radiologie dentară/CT
  • program extins – luni-vineri, 08-21:30
Calea Mosilor, Nr. 296, Bloc 46, Scara C, Parter, Bucuresti, Sector 2

Formular de Programare

This field is for validation purposes and should be left unchanged.

Nou pe blog